Two circular RNAs discovered that predict more aggressive leukaemia
A study coordinated by the University of Padua identifies 'molecular signatures' to personalise treatment and predict the course
2' min read
2' min read
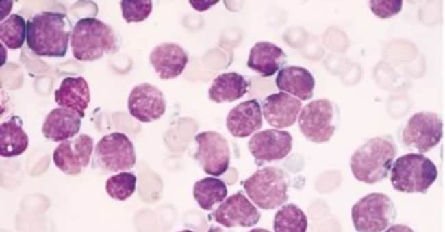
Two tiny, circle-locked RNA molecules could soon help doctors understand in advance which patients with chronic lymphatic leukaemia (CLL) are at risk of a faster and more difficult course. The discovery, published in the Journal of Hematology & Oncology, comes from an international study led by the University of Padua, which identified circCoro1C and circClec2D as typical 'molecular signatures' of the most aggressive forms of this leukaemia, the most common in adults in Western countries.
From basic research to the clinic
.Chronic lymphatic leukaemia is characterised by the progressive accumulation of mature B lymphocytes, which do not undergo apoptosis, with an extremely variable evolution: in some patients the disease remains stable for years, in others it worsens rapidly. Using advanced sequencing techniques and bioinformatic analysis, the Padua team has for the first time traced the 'circular transcriptome' of a rare aggressive variant of CLL, which accounts for around 1% of diagnosed cases. There they identified the two circular RNAs (circRNAs) present in very high amounts in patients with a poor prognosis.
'These molecules could become true markers of tumour aggressiveness, helping to more accurately predict the evolution of the disease. And, in the future, they could become targets for new RNA therapies,' explains Stefania Bortoluzzi of the Department of Surgical, Oncological and Gastroenterological Sciences at the University of Padua, co-coordinator of the study together with Andrea Visentin, who collected samples from Sweden to Greece, the United States and China.
A global collaboration
.The study involved 28 research centres in 12 countries, coordinated by the Computational Medicine and Haematology laboratories of the University of Padua. The researchers compared samples of aggressive leukaemic cells, common forms of Cll and healthy immune system cells, drawing a comprehensive map of molecular differences.
The discovery paves the way for more precise diagnostic tests that can complement the markers already in use - such as Ighv mutations or Tp53 - and enable increasingly personalised treatments.


